Two of my physics professors at Queen's University (Dr. Stewart and Dr. McKee) were the original developers of Positron Emission Tomography (PET) for medical applications. They and a number of other Queen's physicists also worked on improving the accuracy of fMRI for observing metabolic activity within the human body.
As a graduate student working in the Department of Epidemiology in 1998, I was approached by a group of nurses who were attempting to organize a protest against male infant circumcision in Kinston General Hospital. They said that their observations indicated that babies undergoing the procedure were subjected to significant and inhumane levels of pain that subsequently adversely affected their behaviours. They said that they needed some scientific support for their position. It was my idea to use fMRI and/or PET scanning to directly observe the effects of circumcision on the infant brain.
The operator of the MRI machine in the hospital was a friend of mine and he agreed to allow us to use the machine for research after normal operational hours. We also found a nurse who was under intense pressure by her husband to have her newborn son circumcised and she was willing to have her son to be the subject of the study. Her goal was to provide scientific information that would eventually be used to ban male infant circumcision. Since no permission of the ethics committee was required to perform any routine male infant circumcision, we did not feel it was necessary to seek any permission to carry out this study.
We tightly strapped an infant to a traditional plastic "circumrestraint" using Velcro restraints. We also completely immobilized the infant's head using standard surgical tape. The entire apparatus was then introduced into the MRI chamber. Since no metal objects could be used because of the high magnetic fields, the doctor who performed the surgery used a plastic bell ("Plastibell") with a sterilized obsidian bade to cut the foreskin. No anaesthetic was used.
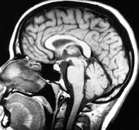
The baby was kept in the machine for several minutes to generate baseline data of the normal metabolic activity in the brain. This was used to compare to the data gathered during and after the surgery. Analysis of the MRI data indicated that the surgery subjected the infant to significant trauma. The greatest changes occurred in the limbic system concentrating in the amygdala and in the frontal and temporal lobes.
A neurologist who saw the results to postulated that the data indicated that circumcision affected most intensely the portions of the victim's brain associated with reasoning, perception and emotions. Follow up tests on the infant one day, one week and one month after the surgery indicated that the child's brain never returned to its baseline configuration. In other words, the evidence generated by this research indicated that the brain of the circumcised infant was permanently changed by the surgery.
Our problems began when we attempted to publish our findings in the open medical literature. All of the participants in the research including myself were called before the hospital discipline committee and were severely reprimanded. We were told that while male circumcision was legal under all circumstances in Canada, any attempt to study the adverse effects of circumcision was strictly prohibited by the ethical regulations. Not only could we not publish the results of our research, but we also had to destroy all of our results. If we refused to comply, we were all threatened with immediate dismissal and legal action.
I would encourage anyone with access to fMRI and /or PET scanning machines to repeat our research as described above, confirm our results, and then publish the results in the open literature.
Paul D. Tinari, Ph.D.
Director,
Pacific Institute for Advanced Study
Related Reading on infant genital cutting and neurological change:
Circumcision Pain Studies End Early Due to Infant Trauma
Infant Pain Impacts Adult Sensitivity and Perception
Study: A Bicultural Analysis of Circumcision
CIRP.org catalog of peer reviewed research on circumcision and brain damage.
Additional information at: Should I circumcise? The pros and cons of infant circumcision






Hey Dr. Momma,
ReplyDeleteI love your blog. The articles on circumcision horrify me! I don't have any children yet, but I've talked to my husband about not circumcising our boys if we have any, and he's completely against the idea because he says that it's harder to keep clean. I'm sure you've addressed this on your blog somewhere, can you send me a link or explain this to me? I'd really appreciate it.
What lousy argument your man has. It isn't more difficult to keep clean at all - in fact, I'd probably say that it would be more difficult to keep it clean without the foreskin, because some argue that it offers a natural protection.
DeleteI work as a CNA at a nursing home where I've had to clean my fair share of adult male members and I can tell you that your husbands argument is ridiculous. All you have to do differently is gently pull the foreskin back. Not rocket science and not difficult. There are no weird acrobatics that need to be done.
DeleteCleaning the female genitalia is very obviously more complicated than cleaning the male, foreskin or none - but we do just fine, don't we? It's just not that difficult. We'd be aghast at anyone who said that the labia would need to be cut to simplify hygiene, whether they were well-meaning or not.
DeleteIn any case, the foreskin doesn't retract fully until later childhood, and male babies are born with the foreskin fused to the penis. Your future sons won't be any more difficult to clean as babies, and they'll retract the foreskin on their own when they're ready. And you'll avoid having to care for an open wound on a very sensitive part of the body.
Oftentimes, I get something caught in my eye, like a bit of sand or a piece of grit. To prevent this terrible, if momentary discomfort, I've decided to surgically remove my eyelids. I think my eyeballs should be much easier to keep clean, if I have no eyelids covering my eyeballs. I also think it'll make my eyes look bigger, and we all know that ladies prefer men with "large eyes"! I think it'll make me look better too!
DeleteI'm the mother of a 3 year old who is intact - the toughest part of my son's body to keep clean for me by far is behind his ears...I never have had any issues because of his foreskin, and I do nothing special in that region. The skin is not retractable yet. No need to do more than make sure to wash it with the rest of his body with soap.
DeletePutting an open wound in a diaper is not very clean.
DeleteHi Tara,
ReplyDeleteFor some reason this seems to be one of the biggest myths out there right now. There is NOTHING to 'clean' on an intact baby/child. The foreskin is TIGHTLY adhered to the glans (of the penis or clitoris). There is nothing to 'do' to take care of it. It is natural, normal, and clean on its own. The prepuce remains securely adhered to the glans (head) of the clitoris or penis until later in childhood/pre-teen years (and occasionally later). It is a self-cleaning organ. After puberty, when a boy retracts and moves his foreskin on his own, he can simply pull it back when showering to rinse it the same way a woman would rinse around/between her labia. Soap is an irritant and not needed.
However, as a baby/child to "clean" under the foreskin would be like ripping your fingernail off your finger to clean under it. Or stretching your eyelid from your eyeball to clean between the two. The prepuce is meant to be a permanent, protective covering of the glans. The glans is meant to be an internal organ. The prepuce keeps the glans perfectly healthy on its own - regulating temperature, moisture, softness, pH, healthy antibodies, among other things.
Dr. Fleiss & Dr. Hodges book, "What Your Doctor May Not Tell You About Circumcision" discusses this topic in greater detail. Get that book if you are able. They are 2 pediatric and human sexuality experts in the field who have studied the topic for the past 30+ years. An excerpt of their book, "FUNCTIONS OF THE FORESKIN" can be found here: http://drmomma.blogspot.com/2009/09/functions-of-foreskin-purposes-of.html You will see (looking at the photos of the cut vs. intact baby's penis) that it is obvious one requires NO care or attention...while the other is a surgical/amputation site that needs attention and cleaning and faces much greater risk of complication and infection.
One of the primary functions of the prepuce in infancy/childhood is to aid in the immune system. It produces its own antibodies, antivirals, and antibacterials. This is just one reason we see lower rates of illness among intact boys and girls.
When we learn the vital rolls that the prepuce plays in human health, development and sexuality (for both men and women) we realize how absurd it is to amputate this functioning organ from a human being, or to think that it is something that is 'unclean'. Nothing could be further from the truth.
(cont. next comment)
(cont. from above)
ReplyDeleteThe BEST pediatric word of advice for baby boys: INTACT = DON'T RETRACT. ONLY CLEAN WHAT IS SEEN.
One of my colleagues tells his patients the ONLY tool they need to care for their intact son(s) is a ruler - to slap the hand of anyone who tries to mess with their baby's penis.
These are excellent articles written by other physicians who are well-versed in the literature and they all have to do with this issue in one way or another. If you read all the following articles, I am fairly confident you will find the answers you are looking for, and you will certainly be more knowledgeable on the subject than the U.S. population at large. A few of the articles also contain a video at the end.
UTI/Medical Tests: Do Not Retract: http://drmomma.blogspot.com/2009/09/uti-testing-on-boys-do-not-retract.html
Only Clean What is Seen: http://drmomma.blogspot.com/2009/09/only-clean-what-is-seen-reversing.html
Protect Your Intact Son: http://drmomma.blogspot.com/2009/08/protect-your-uncircumcised-son-expert.html
Forced Retraction: Ask the Experts: http://drmomma.blogspot.com/2009/09/ask-experts-forced-foreskin-retraction.html
Doctors Opposing Circumcision (the vast majority do) statement on forced retraction: http://www.doctorsopposingcircumcision.org/info/info-forcedretraction.html
If you have further questions or need more resources, feel free to email me or leave another comment.
BTW - your husband may be interested in checking out Penn & Teller's documentary on this subject (2nd video on this site is the documentary). A LOT of fathers have opted in favor of keeping their boys intact as a result of Penn & Teller's activism in this area. http://drmomma.blogspot.com/2009/09/fatherson-matching-penises-stop.html
The only thing that bothers me about this was that they allowed a child to be circumcised for this purpose . And not just any child, but the child of one of the nurses who KNEW it was harmful. "Intense pressure" from her husband? Screw that! I'm sorry, but that's some BS.
ReplyDeleteI get that their results could possibly save many more children, but the fact that they allowed it to happen just makes me want to throw up.
There are many, many women who strongly disagree with genital cutting, but they alllow it for the sake of their marriage. At least until we come to our senses and outlaw this practice.
DeleteThe thought of any baby going through that makes me physically ill, but I don't blame the mother. Maybe she just didn't want to get divorced, so knew it was going to happen anyway, so allowed this study.
Yes, I probably would choose divorce, but not everybody's the same, and by the looks of a few court cases, maybe the son would STILL lose his foreskin.
Someone pointed out to me recently how ridiculous it would be to say to your adult son, "We did not trust that you would be able to rinse your penis when you showered as an adult, so we amputated the most sensitive 1/3 of it at birth." Hmmm. Yup. Pretty insane.
ReplyDeleteCare of an intact penis: http://www.cirp.org/pages/parents/peron1/
Intact Care Agreement (for hospital/doctors): http://www.mothersagainstcirc.org/care.htm
More care of an intact penis [Leave It Alone!]: http://www.circumstitions.com/Care.html
Related pdf files: http://www.nocircmn.org/index_files/Page575.htm
Raising Intact Sons (site): http://www.geocities.com/raisingintactsons/
Caroline - I agree.
ReplyDeleteThere is absolutely NO WAY anyone would chop apart my baby - it would not matter who pressure was coming from (an ignorant spouse or otherwise).
I wish more women also knew that LEGALLY the decision is up to them. They birthed the baby, and they legally can keep him intact no matter what the infant's father desires.
It seems rather basic, too, that we (as mothers) protect our little ones - those we spent 40+ weeks growing and protecting within. We should be free to tap into our primal mothering instincts and let our inner 'momma bear' come out...and chase away anyone wishing to do harm to our newborn.
But what does a father do if the mother wants them circumsized?
DeleteAs a male, I think I would go apeshit, the resentment might be SO bad that divorce would liable to happen as a result...
LEGALLY, in reality, the decision to not circumcise must be unanimous assuming the parents are married; LEGALLY, "in most states, circumcision requires signed consent from only one parent."
Deletehttp://www.noharmm.org/knowrights.htm
That you simply birthed the baby does not strip a father of his rights or grant you legal superiority. Please, understand this.
Extreme pressure is no reason for agreeing to your experiment with mutilation. She could have sought legal help to resist her husband and should have.
ReplyDeleteThat we would never sexually mutilate any sons born of our marriage was a condition of marriage between my ex husband and I made sure it was written and that he adhered to it.
I hope you were able to copy the data before the originals were destroyed, at least the suffering was not entirely in vain, although the child as an eighteen year old could well sue all of you for mutilating him, experimentation for the better good is no excuse.
A more salient study would be of the differences between normal intact adults and circumcised adults. The areas of the brain associated with sexual pleasure have been well identified - there are some excellent studies reported from Cornell U, but sadly there were no comparisons made between intact and circumcised men.
Another useful study, given that an estimated 100,000+ men are engaged in foreskin restoration, would be a comparison of MRIs of circumcised men pre-restoration, at 50% coverage, at full coverage and 5 years post achieving full coverage. I amm certain there would be marked differences in any are of the brain that governs physical and emotional pleasure and satisfaction.
That the original nerve structure is destroyed by circumcision is a no brainer, but if care is taken to use expansion of the inner surface of the prepuce as well as outer skin surface, both these nerve sets can be expanded with remarkably satisfactory results. Men who do this claim their sexual lives are immensely improved, their wifes invite rather than evade sex, and the satisfactions gained impact positively on their marriages and beyond.
Just don't cut any more unanaesthetized unconsenting human beings, it is vivisection, flaying alive, has no part of these times and one of the most atrocious anachronisms in body culture of any society and era.
Maurene
Tara; to add to all that above, my son is 4 and intact. I've never tried to clean under his prepuce. He has never had any infections or other trouble there, though he's certainly had diaper rashes, etc. Actually, in the bath, I wince a little at the way he pulls on himself, but obviously it doesn't hurt :) and he is perfectly healthy. My husband was cut, and so we will have to make a bit of an effort when my son gets older in terms of telling him how to clean himself, but that will just be part of growing up, like shaving and using deodorant.
ReplyDeleteThe articles complaining that the child was allowed to be circumcised for the purposes of this experiment bother me.
ReplyDeleteHere's the bottom line; circumcisions happen every day, as much as 3,000, as much as 1.3 million a year.
People are trying to stop this, to prove that circumcision is permanently damaging and in more ways than one, by observing a circumcision that would have happened ANYWAY.
How is this really wrong?
A while back, I read about a famous picture that depicted a skinny child squatting on the floor, practically sprawled, with his/her hands over his/her head. Nearby, there was what seemed like a vulture waiting for this child to die. It was a powerful picture that sent the clear message of the dire situation.
However up in the peanut gallery, some people were actually angry that this photographer didn't up and HELP the poor child. The photographer could have helped the child, yes, but how many others were dying that needed his help? Had the photographer not taken that picture, the world may not have known.
Back to circumcisions, perhaps these men could have helped saved this one child.
Or could have they?
This wouldn't be the only mother who will have felt pressured to agree to circumcision, what with willing doctors and all... every day helpless parents feel they must agree to circumcise their children for the sake of their marital relationship. I know of cases where one parent signed the consent form behind the other's back and had the child circumcised anyway.
What parent would appove of monitoring this circumcision?
What this woman did was very brave.
Perhaps these same men could have stolen another baby and performed the exact same experiment on it, but then this would have REALLY been "unapproved research." There would have been real cause for alarm, because then parents and the hospital could have sued the people involved on the grounds of "violation of privacy." The fact that instead the hospital asked that the evidence be destroyed is telling.
It's because this woman agreed to have her son analyzed that this experiment was perfectly legit.
As much as we hate circumcision, it's not going to stop until people actually see why it's wrong. How extensive the damage really is.
Like the man who took the picture in Africa, these men should not be shunned. They're but messengers. The boy would have been circumcised anyway. If not by these doctors, by other more willing ones.
The bottom line is, this is incriminating evidence. Hospitals might argue otherwise, but this was the real reason for the cover up.
The same people call for the same experiment to be conducted again. As much as I would hate that another child would have to be sacrificed, I agree that this experiment needs to be conducted again, because this would stand as a beacon and put the myth that circumcision is not damaging or painful to rest.
1,300,000 boys will be circumcised a year anyway. What's the observance of one circumcision? It's nothing. And if this helps cut numbers drop, if this helps incriminate doctors and hospitals for mutilating children, it would have been worth it.
One persons observation
ReplyDeleteAVOIDING THE COBRA POSE
By Jeane Rhodes, Ph.D.
Recently, I completed a doctoral research project in which I investigated the possible link between the way children do selected yoga postures for the first time and their individual birth experiences. The body language of 22 children, five to nine years old, was carefully videotaped and analyzed. To learn about the children’s birth experiences I interviewed the parents. After analysis of the data, I was able to identify specific elements in the performance of the yoga postures that could be perceived as clues to the child’s prenatal and birth experience.�
In the course of this research, I made an unexpected observation related to male circumcision. It can only be considered preliminary at this point, as the study was not designed to focus on this issue, and, had it not been so evident in this small sample, I probably would not have noticed it. Asking about circumcision had not been on my original list of questions for the interview with parents. Fortunately, the first father interviewed mentioned it, so I included a question about circumcision for all of the boys in the study.
What I observed was that the seven boys in the study who had been circumcised did not place their hips on the floor when doing an abdominal-lying-arch posture (the “cobra” pose for those of you familiar with yoga postures). In contrast, the two boys in the study who had not been circumcised did it easily.
When I mentioned this observation to a colleague who is a body-worker, she said she had noticed that her clients who had been circumcised were much more rigid in the pelvic area than those who had not been cir-cumcised. If this very preliminary observation is confirmed, it would be coherent with a recent finding on the long-term effect of circumcision on pain tolerance. A team at the Hospital for Sick Children in Toronto, Ontario (1995) studied the pain responses of children having routine vaccinations four to six months after birth. They discovered that boys circumcised as infants had higher behavioral pain scores and cried longer.
Circumcision of infants should be forbidden as a criminal act. The only legal reason to do so can be a medical emergency. Otherwise this is a crime on a child. Unfortunately our law makers have to close their eyes on this primitive violence and root out this practise by laying low in front of obvious breaches of modern ways to consider human rights and especialy of the rights of minors to be respected in their physical integrity. Monkeys have uncovered glands. They are animals and it took humans millions of years to be 'covered'. And those who think the world is done in 7 days, than they should know that the creator made the human at his image. So what are they cutting of parts of the penis of their boys now? Stop that crime! look at the beauty of an entire body before mutilating your descendants genitals!
ReplyDeleteDear Dr. Tinari,
ReplyDeleteI am also a physicist and intactivist. In your blog, you wrote that you were made to destroy your results. I believe that this morally wrong. The world needs your results. Could you please release them on your website so that people can use them to support claims that circumcision causes changes in the brain. Obviously, this is a claim that MUST be experimentally studied. It certainly has validity. The fact that no research has been done is morally, and rationally, suspect. Negative psychological effects should be studied during all circumcisions performed. If they were, it would become illegal.
I appreciate your blog, but please, release the results.
I hope that Tinari's findings are made public some day. I am deeply baffled by the ruling of the Ethics police where he worked.
ReplyDeleteI also hope that NMR machines, either now or eventually, are large enough to enable an adult couple to engage in foreplay and penetrative sex while under observation. We can then begin searching for how circumcision affects the nerve impulses and brain responses generated by sexual activity.
Sharing information about negative effects of a useless mutilation procedure is "unethical"??!?
ReplyDelete...No, but letting anyone who would say something so horribly ridiculous be in charge of any kind of "ethics" committee is criminally insane...
The medical professions in all the English speaking countries are involved in an unethical collusion to provide an avenue for those parents who want to violate their son's sexual organ, which is done for the parents own selfishness. Deliberately creating loopholes to give justification to do harm to another human being is despicable and further it is not just a crime of omission it is a crime of comission. Therefore, the ethics committee is criminal and being criminal is unethical.
ReplyDeleteEnglish speaking societies are being inconsistent in protecting the body integrity of girls and not boys. Thus having two different set of rules, one for females and one for males is again obviously unjust and additionally sexist.
This ethics committee is unethical. Not only is the committee involved in an act of omission, it is involved in an act of comission. Since it is a deliberate act to hide or destroy pertinent information regarding unconsenting surgery on an infant, it qualifies as a comission. Acts that involve comission are criminal.
ReplyDeleteDoctors and politicians may not think an omission in the law of protecting the bodily integrity of baby girls but not the bodily integrity of baby boys is unethical since many don't consider omission as wrong. But actually it is since the deliberate omission in a law is an act of comission and comission is unethical and therefore criminal.
Thus Ethics Committee is unethical, so what good is it?
Queen's University - Dept. of Epidemiology - Discipline Committee...
ReplyDelete...could we PLEASE have the contact info of those involved, so we could write to them and express our dissatisfaction with their stifling of important information that the world has a right to hear.
WE MUST challenge the claim that in Canada "any attempt to study the adverse effects of circumcision [is] strictly prohibited by the ethical regulations"
I have some very deep concerns about whether the performance of such research is ethical. As someone who has researched and presented on the negative aspects of circumcision I am aware that there are emotional and physiological effects when circumcision is performed. However, to perform such a procedure without anaesthetic, not even EMLA cream or lidocaine seems scandalous and inhumane. Is it not standard procedure for such anaesthetics to be employed and by not using them does this not compromise your research as invalid, in that you are no longer employing controlled variables within it?
ReplyDeleteEmma Stewart (childbirth education consultant)
Emma - anesthesia is not used in the vast majority of circumcision surgeries on newborns in the U.S. even though this counter indicates the AAP recommendation (and all ethical commonsense). While this research is dated, you still ask anyone who performs genital cutting on newborn boys in the U.S. why they don't use anesthesia and most will tell you that it takes longer to inject and for the anesthesia to start working than it does to just "finish the job" quickly. In addition, the dorsal nerve cannot be blocked, even with local anesthesia. Infants experience intense pain with or without EMLA cream or lidocaine. The only way to eliminate this is to use general - which is not going to be employed until a baby is over 6 months of age or at least 10-14 pounds. A better option? Stop performing unnecessary genital cutting altogether.
ReplyDeleteAre there any Mental Health studies of Men whom are, and are not circumcised? I think that would be very informative.
ReplyDeleteInformation regarding this study is so important. Thank you for sharing it.
ReplyDeleteCaroline said:
" ... the child of one of the nurses who KNEW it was harmful. "Intense pressure" from her husband? Screw that! I'm sorry, but that's some BS"
I wish the fact that we women sometimes succumbed to intense pressure was BS:(
At the time my son was born, 34 years ago, my marriage was in tatters. My husband had gone off with another woman and returned just before Ben was born. He was insistent that our son was circumcised.
I was a new midwife. I had held babies for circumcision. I felt sick and had cried as I held them. I thought circumcision was barbaric and horrible.
I vowed no son of mine would be circumcised.
My son was. He was an offering to the gods of marriage on the alter of my broken relationship with his father.
A paediatric friend asked me what was wrong as my son lay in my arms after the travesty, both of us sobbing. I told him. He asked me aghast "how could you do that!!!" I'm still asking myself that same question.
No, our marriage didn't last, it hobbled along for another five years. While the marriage has ended and I have moved on, I still regret my weakness when my beautiful son was born and I still feel as though I betrayed him.
Wow. I'm noticing a great deal of compassion and tolerance toward the beliefs of a person. Since we are so ready to lash out here, before applying facts...let us look at precisely what is being said, and use reason to avoid making a decision based in an emotional reaction.
ReplyDeleteFirst, the study noted a "change", but does not imply whether this "change" is a positive or a negative. Speaking philosophically, very many things within the life of a person that produce positive change in mental state, are painful.
On a basic level, pain creates within us...on the subconscious level, a realization that there is danger, harm (e.g. moving your hand too close to fire will create pain.) The moderation brought about by such experiences are decidedly a good thing. A painful lesson is quite often a permanent one.
That being said, I'm not a fan of physical trauma in any form...however to assume that such pain has no role in shaping a wise person, with moderated thought regarding issues of danger is...well, naive. A tooth extraction hurts quite a lot as well, though one could argue successfully that it is a necessary solution in many instances.
As I type this, there is no resentment or anger in my heart... merely concern at an approach. I am not specifically sold on the concept of circumcision...however, to deny that these results could be just as much a positive as they are perceived, as negative would be somewhat naive. Pain is a necessary part of the world, to teach a child elsewise is tantamount to neglect...please bear in mind, mother love without moderation and restraint can produce a spoiled, rebellious, and codependent child, incapable of enduring the realities of the world.
Assuming it is true, shouldn't the stifling of information piss you off? Shouldn't the idea that more studies on this aren't done, piss you off?
DeleteYES, the results might harbor SOME beneficial results in FAVOR of circumcision. But the fact that studies aren't being done should raise some red flags, and is enough to make me go TO HELL WITH THAT, if I have a baby and he mother demands circumcision, I am liable to fly off the handle.
If the law backs her up, well sometimes I can see taking the law into ones own hands would be tempted..
Anonymous... pain inflicted upon a being incapable of preventing it does not create wisdom or beneficial growth. Perhaps, as you're discussing fact and presumably science, a short discussion on what pain and fear actually does to the human mind, especially the extremely young one, is in order.
ReplyDeleteYour comment is ill informed, though you attempt to show a high intellect. And though it will sound extremely judgmental because, well, it is... I truly hope you are not a parent or in a role responsible for a child's development at this point.
I'm sorry, but given that I am a pediatrician who performs circumcisions I have to speak out against performing one without anesthesia. I am at a loss for words that you would perform such a barbaric task. My facility uses anesthetic on each baby as do the other facilites in my area-which is a major US city.
ReplyDeleteIf you're against circumcision, that's fine. But to subject this baby to a painful procedure without anesthetic just to prove a point makes me question your morals in general.
@anon: "I'm sorry, but given that I am a pediatrician who performs circumcisions"
ReplyDeleteHow about some of your own medicine, then Anon, because, to quote you:
"But to subject this baby to a painful procedure... makes me question your morals in general."
That is EXACTLY how I feel about someone who cuts off healthy, sensitive, functional parts of a child's genitals. You should know better... anaesthesia or not.
@ Joel: Well put. @ Anon: Many facilities perform infant circumcisions with no anesthetic.Do you realize that with or without pain management, circumcision provides a lifetime of sexual disfunction? Parents who know better, do better. It's sad that docs like you aren't giving very practical or accurate advice to those parents who don't know better. Now I question your morals, because you perform unnecesary surgery on helpless infants, just to make a buck. Doctor, heal thyself!
ReplyDeleteAnesthesia or not it's painful. I am a nurse and during my clinicals about 2 years ago, I had several class mates who witnessed many circumcisions (I refused to watch). ONE pediatrician out of the seven regulars used anesthesia and only when the parents requested it.
ReplyDeleteI'm a nurse practitioner in a large Midwest hospital. Similar to what Rachel said her clinical classmates observed, I only know of one physician here who ever uses anesthesia. Many of the LNPs and RNs refuse to participate in circumcision surgery, but when we present the question to attending physicians the response is usually that it takes more time to inject and wait for anesthesia to take effect than it does to just get the procedure done with. I've seen many cases where parents are clearly under the assumption that anesthesia will be used, and it almost never is.
ReplyDeleteIt's useful to note that the form of circumcision used is clinical. Religious circumcision such as that done by Jews requires the child held by a trusted relative, usually the grandfather in a position of love, not restrained in a cold plastic torture device.
ReplyDeleteWhatever effects circumcision has on the brain seems to have worked nicely for the Jews -- they are overrepresented in Science, Law, and Medicine -- the single largest group of Nobel Prize winners in science, across every demographic.
"It's useful to note that the form of circumcision used is clinical. Religious circumcision such as that done by Jews requires the child held by a trusted relative, usually the grandfather in a position of love, not restrained in a cold plastic torture device.
ReplyDelete"Whatever effects circumcision has on the brain seems to have worked nicely for the Jews -- they are overrepresented in Science"
Are you kidding me???? Am I missing something here?
What I read in God's word says.... Romans 2:29
No, a person is a Jew who is one inwardly; and circumcision is circumcision of the heart, by the Spirit, not by the written code.
Circumcision does NOT have to be done this way! This way mentioned above IS TORTURE! And many doctors do it this way. But, I know a pediatrician who circumcises while the baby is swaddled in his own blanket, the penis is COMPLETELY numbed, the baby's mother cuddles him. The baby must be AT LEAST a week old before this doctor will do it. And the baby doesn't cry. I think it is best to leave the baby intact, but if a family wants to consider circumcision, they must know that it doesn't have to be done in a barbaric way. They should consult their pediatrician about HOW they normally do this operation and go to great lengths to find a pediatrician who circs humanely.
ReplyDeleteHey Anonymous @ 11:37pm-- there is NO "humane" circumcision when it is performed on a person without their consent. Do you somehow fantasize that when these mutilated babies urinate on their open wound it doesn't sting a bit??
ReplyDelete"permanent rewiring" - isn't that the purpose? i believe circumcision was and is a politically motivated practice.
ReplyDeleteI had my son circumsised by the urging of my aunt. She told me about her grandson who at the age of 7 did not clean himself well . His foreskin became infected and he had a 2 or 3 day hospital stay upon removal. With tears in her eyes she said he cried while at his bed side and stated at times " Grandma my pee pee hurts." I see no documentation here on incidents on this. I know my aunt wouldn't lie to me with tears in her eyes. Is there a golden answer.
ReplyDeleteTo the last Anonymous - infections have occurred for many boys in the U.S. during the past few decades because parents were incorrectly told to "retract and clean" under the prepuce. The problem for her grandson was not that he "did not clean well" (there simply is nothing to 'clean' on a 7 year old boy) but rather it is likely he was subjected to forced retraction as an infant and child, and this led to the introduction of foreign bacteria, an imbalance of healthy microflora, pH, and also scar tissue that would later cause issues. If you read up on the epidemic of forced retraction in the U.S. you'll see why this has happened for some here, while it is almost unheard of in the rest of the world where the vast majority of boys and men are intact and never have 'problems.' Simply put: boys need to be cared for in the same gentle manner as girls -- you would never pull back to 'clean' under a girl's prepuce (the clitoral hood) just as you should never pull back to 'clean' under a boy's prepuce (the foreskin).
ReplyDeleteCheck out some of this literature on healthy intact care, and you'll likely see what happened with her grandson, and why this does not have to occur: http://www.drmomma.org/2009/06/how-to-care-for-intact-penis-protect.html
I wish when they were doing the pain monitoring of the male infant assault and mutilation ("circumcision"), they had noted and reported the variance of pain levels between the tearing of the frenum foreskin from the glans, and the cutting. I believe the tearing may be much more painful, but most people probably think only of the cutting in relation to the pain. This needs to be clear. Please help end this perverse, sick, evil, hateful and anti-spiritual nightmare!
ReplyDeleteI wish I would have read more about circumcision..I had my son in 2010 and thought it was just a natural thing to do..Everyone I know that is male said they were..all my male family members were..I am bummed as it is accually a choice I should have let my son make on his own if he wanted that done..I wish I would not have been Ignorant and read more about this b4 I made that decision..But when friends ask me now i will def tell them to read and research b4 doing so with their sons..
ReplyDeleteHow about no circumcision instead of discussion on pain management which is frequently as painful as the "less" traumatic portions of RIC? I am a male that had two botched circumcisions as a child. Against my will, for cosmetic reasons, without any anesthesia. FU to any pro-circ nutjobs that support baby torture for any reason.
ReplyDeleteDr. Momma,
ReplyDeleteMy son, almost 3 years old, is not circumcised and my reasoning was because his father was not. I've read that they child, as they get older, will pull the skin back themselves...well my question is, what if they pull it back now. Will it hurt him if pulled it back now? He's done it when he's been in the bathtub; when I see him doing it I'll tell him to stop but I just want to make sure that he's not hurting himself by pulling it back at such a young age.
About your blog...I didn't know that's how they did the procedure and I am GLAD that I decided to not get it done on my son. He had to get an MRI right when he was born anyway for what they thought was spinal bifida, which it thankfully wasn't. So thank you for reassuring me that I made the right decision in not getting it done.
Hi Kat! It is perfectly ok for the child himself to pull the skin back whenever he feels like it. :) The problem is when someone other than the child himself tries to do it.
DeleteJust from limited reading, when THEY pull it back, it is time because they will stop when it hurts. As if someone else pulls it back, they cannot feel if it is too painful..
DeleteWhat devastates me is that I have never heard a doctor say "Circumcision is bad" or anything to educate a parent on it. In fact, I had to educate a doctor on not retracting an intact infant. I quit another clinic after a retraction on my then barely a week old baby. These are two different doctors, and two different sons. It's sick and twisted to be honest.
ReplyDeleteIf there was a change in the child's brain pattern from a circumcision, what makes you think that something else like getting shots or other tramatic event's a little later in the child's life wont do the same.
ReplyDeleteIf a child's brain is changed by having a circumcision, what about having there shots later when they are a little bigger. That requires being held down and having needles jammed in there legs. What if that also changed there brains?
ReplyDeleteI don't think that these two procedures are similar at all. Firstly, vaccinations are series of shots which are given intramuscular. The circumcision is a procedure that cuts off the foreskin of a male's penis with a knife. Frankly, I cannot see a similarity at all. As anyone who has cut oneself badly know who painful that can be. Imagine that happening on the most sensitive part of your body. Now, think of your last flu shot...and, can you really say they are similar? It is like get shot with a bb gun that hits your jeans versus getting shot with a .22 in the penis. ;)
DeleteLast, the circumcision is not a medically necessary procedure, whereas, childhood vaccinations most definitely are medically necessary. Children, and all adults, will experience pain and discomfort throughout their live. This is an unfortunate reality of life. The point in trying to stop circumcision is to eliminate the pain and its after-effects from an unnecessary procedure, not to, unrealistically, try to stop kids from getting hurt at all. They will, we all have...But, we can stop one source of unnecessary and traumatic pain from ever happening to another child.
I tried to skim the comments to see if my question was asked, but there are quite a few, so forgive me if this is not new.
ReplyDeleteIn the article Dr. Tinari states the following: "Follow up tests on the infant one day, one week and one month after the surgery indicated that the child's brain never returned to its baseline configuration. In other words, the evidence generated by this research indicated that the brain of the circumcised infant was permanently changed by the surgery." I am wondering how the fact that you found that the child's brain did not return to its baseline after only one month proves that it has been permanently changed? And, in light of this, I question the use of the word 'never' in this statement.
I would not want to subject more newborns to traumatizing pain, however, I question the validity of the statement on the basis of one child. As you well know, this small of a sample size hardly constitutes a true scientific study. I could see other's objecting that perhaps this child was more sensitive to pain, in other words (colder words perhaps), this child maybe an outlier.
Please understand that I am not standing up for circumcision. In fact, this area interests me not because I have a child, but because (perhaps,I should say in addition to wanting to end the pain inflected upon children) when I was seven weeks old I had abdominal surgery and at the time (1977) most doctors thought that newborns did not experience pain. Because of this, the doctors only used a local anesthetic. They simply strapped me down so I wouldn't move. After the surgery, I was similarly strapped down so that I wouldn't touch the incision. Therefore, I was only allowed to be held by mother for a short time each day. I believe this is why I am so sensitive to pain now. I am 32 yrs old and have osteonecrosis as a result of high-dose prednisone during treatment for ALL. Dr. Tinari, do you believe that this type of traumatic pain, experienced as a child, can affect one's sensitivity to pain as an adult?
Thank you,
JJ
"any attempt to study the adverse effects of circumcision was strictly prohibited by the ethical regulations"
ReplyDeleteWhose ethical regulations? The hospital's? The country's? Why?
I have a son who is 2 1/2 yrs old. he was circumcised at three weeks of age using the plastibell method. He slept through the entire procedure and was still asleep when they brought him out to me once it was complete (time taken approx 10 mins). I used a numbing cream on his penis before the procedure as required. I know that they held him down by holding him in case he moved during the procedure. I debated whether or not to go ahead with doing this, I hated the thought of putting my son through anything painful however a close friend had her two sons done and they did not cry. The part I hated was the after care.
ReplyDeleteIn your study I thought it strange that no pain relief cream was used on this baby, to me that makes the study null and void for today's standard as I do not believe that they would do that now. I am in Australia and not sure if it is different in the states but surely not????
If you want a study done to validate stopping the procedure shouldn't the test have been done using the same method as what they would do today. It seems to get the maximum effect for your study you chose to put this poor baby through the worst possible ordeal???
I felt sick reading this........
Anon - The majority of babies circumcised in the U.S. (between 30-50%) and Canada (about 10%) do not receive anesthesia. Or, if they do, they are only given a topical ointment that does not block the dorsal nerve or allow for enough time to numb even the surface skin. The way this study was done is standard in North American hospitals and clinics.
DeleteRegarding the Plastibell - 'sleeping through it' is a lie that is often told to many parents. It is also standard procedure to tell new mothers this so they don't feel bad. I am a neonatal nurse and we are instructed to always tell parents that he did great and slept through it because otherwise parents get really upset and we cannot face lawsuits and depressed mothers. We don't bring a baby back until he has calmed down. I found this from another nurse and it is spot-on: http://www.savingsons.org/2012/06/if-this-stained-circumstraint-could.html
There's also another one at the plastibell lie:
http://www.savingsons.org/2012/03/plastibell-lie.html
And for those few who really don't cry, we often see they slip into a real state of shock from the procedure:
http://www.drmomma.org/2011/03/he-didnt-cry-babies-in-shock.html
The great thing about leaving babies intact? There is no 'after care' at all. And then they grow up with all they were meant to have. There's always the next time around if you have another son... I know a lot of parents who made a different decision with their next boy.
It still amazes me that few people speak to the obvious sexual violation of Male Genital Mutilation. Forcibly handling, attacking and cutting the penis is an act of rape and sexual assault on boys. If these children were girls, people would be comfortable calling it such. I refuse to use the word "circumcision", which candy-coats this barbaric, legal sexual assault of boys.
ReplyDeleteDoes anyone know how I can contact Dr. Tinari?
ReplyDeleteI'm very curious as to whether one can use MRI scans on ADULTS to detect, with a reasonable degree of accuracy, whether that adult was cut or not as a baby. This would be a very important, powerful, and influential result.
I suspect that this may not be the case... not because circumcision doesn't cause trauma, but because so many other things do, and we may not be able to discern the difference. In any case, I'm very curious about this.
This is, in my opinion, proof that humanity suffers from a form of "rationalized insanity." I'm heartsick at the thought of even one more infant suffering until this barbaric practise is outlawed entirely. And who knows when that will come to pass.
ReplyDelete"I would encourage anyone with access to fMRI and /or PET scanning machines to repeat our research as described above, confirm our results, and then publish the results in the open literature."
ReplyDeleteSo you want someone else to do what you are afraid to do, so that they can bear the brunt of any legal consequences? I am skeptical of these legal consequences anyway. Please do what's right and stand up for baby boys!
I think the Primal Wound (too early separation from birth mom, esp for newborns) does the same thing. Any big trauma...
ReplyDeleteIt's disgusting that such an obviously unethical study would be so valuable in arguing in against infant and childhood circumcision. According to these people it's not unethical to perform a circumcision but it's unethical to document it. This reminds me of the Tuskegee Syphilis Study and Stanford Experiment.
ReplyDeleteW.H.O make laws>W.H.O invent and sell the circumcision devices(*kaching*)>'Doctors' mutilate>Sell foreskins (*kaching*)>Psychological damage>Pharmaceutical companies sell drugs (*Kaching*)>Forskins used in beauty creams(*Kaching*)>Stem cell research (*kaching*)>Lots of debate tires everyone out>Side order of religious outrage>Debaters visit starbucks to stay awake yet still missing the point entirely(*kaching*)>eventually depression sets in>Pharmeceutical companies sell drugs (*kaching*)
ReplyDeleteDo you need a study for that?